Llamamos DGP (Diagnóstico Genético Preimplantacional) a la técnica que estudia el material genético de un embrión. Se puede utilizar para detectar alteraciones cromosómicas o para buscar alguna enfermedad genética concreta.
Pero vayamos por partes. ¿Qué son los cromosomas?
La información genética que tienen nuestras células se agrupa en cromosomas. La especie humana tiene 46 cromosomas ( o lo que es lo mismo, 23 pares). Eso quiere decir que todas las células tienen 46 cromosomas excepto los óvulos y espermatozoides, que al madurar se someten a una división «extra» llamada meiosis, que es la que consigue que se queden con 23 cromosomas.
Así, cuando se produce la fecundación, hay una serie de mecanismos que «fusionan» los núcleos del óvulo y del espermatozoide, consiguiendo que el embrión resultante tenga de nuevo 46 cromosomas: 23 cromosomas heredados de nuestra madre (son los que están en el óvulo) y los otros 23 son de origen paterno (los que aporta el espermatozoide).
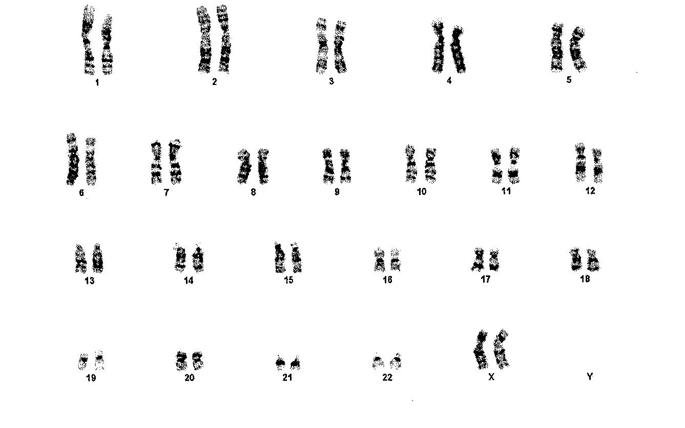
Los cromosomas se pueden identificar fácilmente en un análisis de sangre. Es lo que llamamos cariotipo. Un resultado normal es el de 46 XY en el hombre y 46 XX en la mujer. En los cromosomas se pueden distinguir dos brazos (uno corto y otro largo):
Pues bien, cuando realizamos una FIV siempre debemos revisar los cariotipos de los pacientes, ya que el 96% de la población tiene un cariotipo normal, pero un 4-5 % (porcentaje que es más elevado en los pacientes con problemas de esterilidad) presenta alteraciones en los cromosomas, ya sean numéricas o estructurales. O lo que es lo mismo, existen pacientes que no tienen en todas las células 46 cromosomas (podemos encontrarnos células con 45 o con 47) o pacientes que tienen el número correcto pero se observa algún problema en la formación de dichos cromosomas (por ejemplo, tienen un brazo de uno de los cromosomas roto que se ha «fusionado» a otro cromosoma).
Como ya podréis suponer, un embrión genéticamente correcto, a priori, ha de ser aquel que tenga los 23 pares de cromosomas.
Otro tema que debo aclarar antes de centrarme en el DGP es el de las enfermedades monogénicas. A veces, algún miembro de la pareja es portador de una enfermedad hereditaria que puede dar lugar a embriones afectados por dicha enfermedad (por ejemplo, la Corea de Huntington) y se precisa estudiar ese gen en concreto para confirmar que el embrión dará lugar a un hijo sano para esa enfermedad ( en este caso, entendemos por sanos tanto a los embriones sin la afectación genética como aquellos embriones que son portadores pero que no desarrollarán nunca la enfermedad).
Aclarado esto, el DGP puede sernos útil para realizar un screening genético al seleccionar los embriones cromosómicamente normales o como diagnóstico selectivo de enfermedades monogénicas, para lo que necesitamos conocer con exactitud qué genes están alterados.
Un tema denso, como podéis comprobar. Mejor dejo para la siguiente entrada cómo y cúando utilizamos el DGP.


Web del CIRH:
anacer: Asociación Nacional de Clínicas de Reproducción Asistida